Medical Apparatus: Imaging Guide to Orthopedic Devices
HOME | ABOUT | CONTACT US

References - Introduction

Biomaterials

Imaging Protocols

 

Medical devices: legal, regulatory, and quality assurance considerations

 

Medical Device Manufacturers

 

 

 

 

Orthopedic medical devices and cross-sectional imaging:
protocols and artifacts continued


by David Melville, MD

 

Chronic Post-operative Complications - CT Evaluation

Periprosthetic Fracture

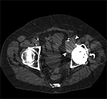
While periprosthetic fractures may occur acutely or chronically following fracture fixation or arthroplasty, CT may be more beneficial in the chronic setting to accurately assess the exact extension of the fracture and residual bone volume, which may be obscured by overlying surgical hardware (Figure 8) (Ohashi, 2009). Further, CT may be helpful to better assess multiple overlapping screws or complex hardware before surgical intervention. Cross-sectional imaging with CT or MRI may also be useful for the assessment of incomplete or stress fractures resulting in chronic post-operative pain.

 

Non-union

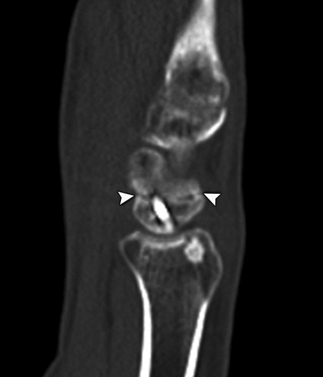
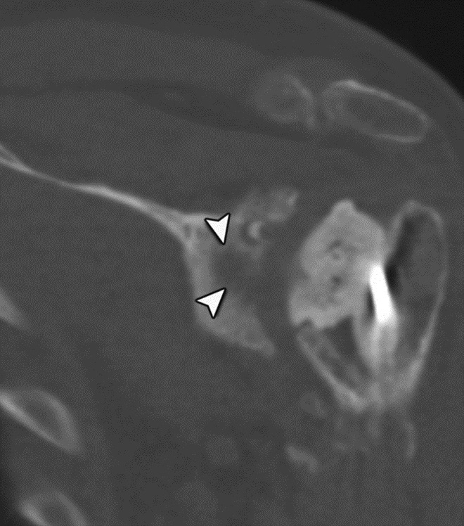
Fracture healing and joint fusion may be assessed readily with radiographs, but the presence of callus formation alone does not predict progression to complete healing, and the presence of osseous bridging is considered a more reliable indicator of union (Figure 9) (Ohashi, 2009). CT has been found to be more accurate for the determination of osseous bridging, as radiographs may either underestimate or overestimate the extent of bone fusion (Krestan, 2006; Grigoryan, 2003). The presence of exuberant callus formation may obscure the evaluation for osseous bridging on radiographs, and multiplanar CT allows direct visualization of the fracture site. In addition, fine central osseous bridging at the site of small fractures and bone grafts, such as in treated, non-united scaphoid fractures, is better assessed with thin slice CT images (Figure 10). Finally, some articulations are difficult to assess due to overlapping anatomy, such as the posterior subtalar and Lisfranc joints, and CT offers superior delineation of the joint spaces following arthrodesis.

 

Osteolysis

Periprosthetic osteolysis represents a host of conditions, including small-particle disease, mechanical hardware loosening and periprosthetic infection, manifested by bone destruction surrounding implanted hardware (Figure 11). Imaging may not be able to differentiate the underlying cause of osteolysis, but identifying its extent and potential associated soft tissue involvement provides useful information to the referring physician.

In the case of infection, which is uncommon, nuclear medicine studies, aspiration or biopsy may be required to confirm the diagnosis. Small-particle disease results from implant wear, leading to particle shedding and provocation of a histiocytic response, which manifests as bone destruction. The most common cause of small-particle disease is polyethylene wear, and most patients remain asymptomatic until extensive bone loss is present (Ohashi, 2009; Naudie, 2004). Radiographic evaluation of small-particle disease can be limited by location of the lesion, position of the hardware, and patient body habitus. In particular, evaluation of peri-acetabular particle disease can be challenging due to the above factors. In such cases, CT may be indicated to determine the presence and volume of osteolysis prior to hardware revision (Figure 12) (Chiang, 2003; Claus, 2004).

Evaluation of osteolysis requires attention to optimized metal artifact reduction with use of a soft tissue kernel and wide window settings (> 6000) to best visualize periprosthetic lucency (Ohashi, 2009). Focal lucency greater than 2 mm or interval increase compared to prior CT studies typically indicates osteolysis and should prompt clinical evaluation for an underlying cause (Ohashi, 2005; Taljanovic, 2003). It is important to note that comparison of periprosthetic lucency measurements between radiographs and CT may differ and small differences should not be relied upon for diagnosing osteolysis. CT may also be used for prosthesis templating prior to revision arthroplasty in cases of severe bone loss and remodeling.

 

Hardware failure

Radiographs remain the gold standard for assessing the integrity of implanted hardware; however, CT may be useful in particular cases. Prior to complete fracture union, hardware failure poses a significant impediment to fracture healing, and, in fact, may be an indicator of fracture non-union as chronic mechanical stress at the persistent fracture site results in hardware fracture. Consequently, CT examinations for fracture healing should also include a close inspection of surgical hardware, particularly in cases of non-union.

Just as with the immediate post-operative setting, CT is the modality of choice for evaluating complications related to spinal fusion. Screw fracture may occur in up to 25% of patients (Figure 13) (Ohashi, 2009; Lonstein, 1999). As with all cases of hardware failure, the imaging findings should be correlated with patient symptoms as not all hardware complications relate to current clinical symptoms. CT can be useful for the detection of polyethylene dislocation, which may occur in shoulder, hip and knee arthroplasties, and may be difficult to detect on radiographs (Figure 14) (Clarke, 2004).

Back to Top

Figure 7A Figure 7B Figure 8A Figure 8B
Suboptimal dual energy CT Suboptimal dual energy CT Periprosthetic fracture Periprosthetic fracture

Suboptimal Dual-Energy CT. (A) Frontal radiograph demonstrates comminuted, intra-articular distal humeral fracture following open reduction and internal fixation. (B) Dual-energy CT ordered to assess fracture union provides suboptimal visualization of the intra-articular fracture site secondary to extensive, persistent artifact resulting from summation of multiple fixating screws.

Periprosthetic Fracture. (A) Coronal multiplanar reformation and (B) axial CT image of the right hip demonstrate radiographically occult non-displaced periprosthetic fracture involving the greater trochanter (arrow)

Figure 9A Figure 9B Figure 10A Figure 10B
Fracture union Fracture union Scaphoid fracture Scaphoid fracture

Fracture Union. (A) Sagittal multiplanar reformation demonstrates non-united distal fibular fracture. (B) Follow-up dual-energy CT coronal multiplanar reformation demonstrates distal fibular fracture healing after fixation for non-union.  

Scaphoid Fracture Evaluation. (A) Sagittal multiplanar reformation shows central portion of compression screw in the scaphoid with incomplete union at periphery of fracture site (arrowheads). Note absence of streak artifact due to small size of screw. (B) Coronal multiplanar reformation shows fracture union at the central portion of the scaphoid waist, indicating partial union.

Figure 11 Figure 12 Figure 13 Figure 14
Hardware infection Small particle disease Hardware failure Liner displacement

Hardware Infection. Coronal multiplanar reformation of the shoulder demonstrates post-surgical changes following removal of infected left total shoulder arthroplasty with placement of antibiotic spacer and glenoid osteolysis (arrowhead) due to ongoing infection. 

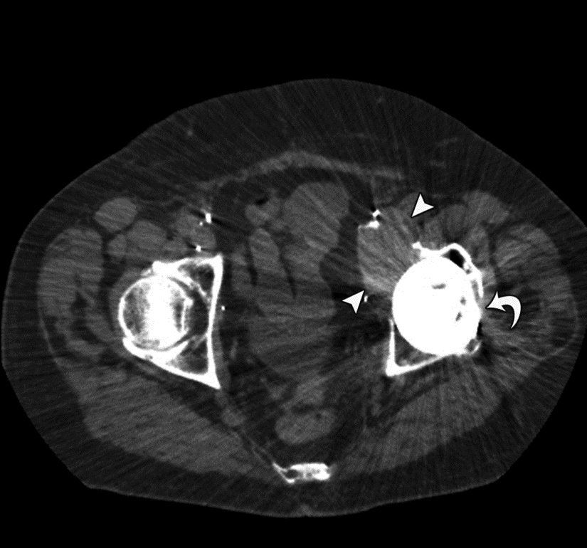
Small Particle Disease. Axial CT image of the pelvis demonstrates left total hip arthroplasty with adjacent cortical disruption (curved arrow) and destructive soft tissue lesion (arrowheads) arising from the anteromedial aspect of the acetabulum, consistent with small particle disease due to polyethylene wear.

Hardware Failure. Sagittal multiplanar reformation demonstrates fractured pedicle screw in patient with treated vertebral compression fracture and sudden onset of worsening back pain.

Polyethylene Liner Displacement. Sagittal multiplanar reformation of reverse total shoulder arthroplasty demonstrates posteriorly displacement of low attenuation polyethylene liner relative to the humeral component and glenosphere in patient with limited range of motion.

Back to top

 

MRI and Ultrasound Imaging Protocols


Author contact information

Tim Hunter
Email: hunter@radiology.arizona.edu


COPYRIGHT 2013: TBH
All Rights Reserved

Publisher Contact Information

Main office: USA (New York)
Cambridge University Press
32 Avenue of the Americas
New York, NY 10013-2473

Phone: (212) 337-5000
Email: newyork@cambridge.org