Medical Apparatus: Imaging Guide to Orthopedic Devices
HOME | ABOUT | CONTACT US

Orthopedic Devices

Joint Arthroplasty

Conservative Fracture Treatment

Internal Fixation - pins, wires, and screws

Internal Fixation - plates

Internal Fixation - nails and rods

Internal Fixation - bone grafts and bone substitutes

Carbon Fiber Implants

Fracture Fixation References

Joint Arthroplasty References

 

 

 

Fracture Fixation continued...


by Tim B Hunter, MD, MSc

 

Internal Fixation continued...

 

Plates continued....

Fixation plates can also be described as locking or non-locking. Non-locking plates stabilize the bone fragments by use of the friction between the plate and the bone, which is generated by screws compressing the two bony surfaces together. Locking plates use screws attached to the plate in a rigid fixed-angle fashion using threads in the screw head and/or the plate hole (AAOS, 2008). Locking plates are more resistant to failure from screw loosening and pull out. All the screws locked to a bone fragment are locked to the plate at a fixed angle. For the plate to fail, the screws must pull out as a unit. Locking plates may be advantageous in osteoporotic bone with thin cortices, such as in the proximal humerus, distal femur, and proximal tibia. The use of locking versus non-locking designs is up to the individual surgeon with non-locking designs being considered more traditional. There are no statistically significant differences between locking plates and non-locking plates in patient outcomes (AAOS, 2008).

Very commonly, terms such as 3.5 mm, 3.5 plate, 3.5 mm plate, 4.5 mm, 4.5 plate, or 4.5 mm plate are used. These refer to the diameter in millimeters (mm) of the screws used to secure the plate into bone. The size of a bone plate can refer to its length or thickness as well as to the size of the screws accommodated in its holes. The size of the screws is the most commonly used parameter for describing a fracture fixation plate size. Plate size is sometimes also described by the number of screw holes in the plate.

 

Intramedullary Nails/Rods

Intramedullary nailing was introduced by Gerhard Kuntscher (1900-1972) in 1940 and represented a revolution in the treatment of femoral shaft fractures. Since that time, the technique has evolved considerably (Ruedi, 2007; Benjamin, 1994; Wiss, 2013; Berquist, 1995; Freiberg, 2001; Hunter, 2001; Ajmal, 2001; Oh, 2002). Intramedullary nailing is the standard treatment for diaphyseal fractures of the femur and tibia (figure: intramedullary rods/nails; figure: antegrade intramedullary hip nail; figure: tibial intramedullary nail). Humeral shaft fractures are also being treated with antegrade and retrograde intramedullary nailing, with variable complication rates being reported (figure: humerus intramedullary nails). Intramedullary nails or rods allow early weight bearing and functional use of the extremity. The intramedullary location of the nails provides optimal biomechanical positioning to resist torsion and bending (Ajmal, 2001).

Nails typically traverse a fracture and are often used as a rigid support for screws, pins, or other nails or rods used to fixate a fracture (Orthopedic Hardware Atlas). In many radiology practices the terms rod and nail are used interchangeably. Radiologists seem to favor the term rod while orthopedists favor the term nail.

In a purist sense, rods are simple solid cylinders which are thinner and more flexible than nails. For the purposes of this discussion, the terms nail and rod will be used interchangeably, but one should realize local custom often determines medical device terminology. Nails/rods have proximal and distal holes for the insertion of locking (interlocking) screws and pins that stabilize the nail in the bone and prevent rotation of the distal portion of the fractured bone on the proximal portion. Nails can be solid or hollow and come in a variety of cross-sections from round to square to star shaped (Orthopedic Hardware Atlas).

Most intramedullary nailing is done closed with minimal soft-tissue exposure, either in an antegrade or retrograde fashion depending on the fracture site. Both antegrade and retrograde nailing are used for femoral and humeral shaft fractures, and for tibial shaft fractures antegrade nailing is used. The entrance site for an antegrade femoral nail is created in the piriformis fossa; for the retrograde femoral nail, in the intercondylar region; and for the antegrade tibial nail, anteriorly just below the joint line.

The nails are introduced over a guide wire, frequently after reaming with flexible reamers to enlarge the intramedullary canal. Because reaming causes temporary damage to the internal cortical blood supply, which is associated with increased infection rates, it is not recommended for the treatment of some open fractures. There is also an increased rate of pulmonary complications including pulmonary embolism with reaming; therefore, controversy persists between those who recommend reamed nailing and those who do not in severely traumatized patients. Intramedullary nailing is performed with intraoperative fluoroscopic guidance (Ruedi, 2007; Benjamin, 1994; Wiss, 2013; Berquist, 1995; Freiberg, 2001; Hunter, 2001; Ajmal, 2001; Oh, 2002).

Back to Top

Femur blade plate

Hip blade plate

Pelvis blade plates

Anatomically shaped plate (Puddu Plate)

Blade plate

Hip blade plate

Blade plates

Short plate in tibial osteotomy

95 degree angle blade plate with multiple cortical screws that stabilize a healing non-union femoral diaphyseal fracture with ghost tracks from previous fixation apparatus. The arrow points to bone substitute. There are also skin staples present. From Taljanovic, 2005 A blade plate stabilizes an intertrochanteric fracture. There is a cancellous screw proximally and six cortical screws distally as well as a broken drill bit. From Benjamin, 1994

There are bilateral proximal femoral varus osteotomies with a pediatric fork osteotomy blade plate on the right and a 90 degree angle pediatric osteotomy blade plate on the left. There is also an intertrochanteric interfragmentary fully threaded Steinman fixation pin (arrow) on the right. From Taljanovic, 2005 A specially designed short plate (Puddu plate) transfixes an open wedge high tibial osteotomy (OWHTO) for treatment of medial knee joint osteoarthritis. The knee is in a hinged brace. Skin staples are present medially. From Taljanovic, 2005
Periarticular locking plate

Humerus periarticular locking plate with Vitoss bone graft substitute

Bilateral proximal humerus periarticular locking plates

Periarticular plate

Humerus periarticular locking plate with bone substitute

Right humerus periarticular locking plate

Left humerus periarticular locking plate

 

 

57 year-old man with comminuted bilateral proximal humerus fractures. Skin staples are present. There are old, healed rib fractures on the left.

Right clavicle reconstruction plate

Left clavicle reconstruction plate

Little finger reconstruction plate

Pelvis reconstruction plates

Clavicle reconstruction plate

Left clavicle reconstruction plate

Little finger reconstruction plate

Pelvis reconstruction plates

 

67 year-old man with healing left proximal clavicular fracture.

47 year-old man with fracture of the left little finger proximal phalanx.

Reconstruction plates stabilize multiple pelvic and sacral fractures. There are also two right sacroiliac joint screws, the superior of which is fully threaded, and the inferior of which is partially threaded. Both screws have associated washers.

Back to Top

Wrist T-plate (PA view)

Wrist T-plate (lateral view)

Variable angle volar distal radius locking plate

 

Wrist T-plate

Wrist T-plate

Volar distal radius locking plate

From Taljanovic, 2005

This is also commonly called a "volar" fixation plate. From Taljanovic, 2005 20 year-old woman with surgical plate placement for a malunited distal radius fracture

 

Less invasive stabilization system (LISS) plate with fixed angled screws stabilizing a distal femoral diametaphyseal fracture.

Femur blade plate and interfragmentary screw

Buttress fixation plate and bone graft substitute

Carbon fiber humerus fixation plate
LISS plate femur Femur blade plate and interfragmentary screw Buttress plate and bone substitute Carbon fiber humerus fixation plate
From Taljanovic, 2005

The blade plate and fully threaded interfragmentary screw stabilize an intertrochanteric hip fracture.

63 year-old woman with lateral tibial plateau fracture treated by a lateral buttress plate and Norian bone graft substitute.

The carbon fiber fixation plate itself is radiolucent but has a wire encased in it to allow radiographic evaluation of its placement. In the proximal end of the plate are 3.5 mm proximal humeral head fixed angle threaded locking holes with 3.5 mm locking screws.

Image courtesy Brandon Runyan, MD.

Right femur supracondylar periprosthetic fracture treated with lateral periarticular locking plate
Right femur TKA periprosthetic fracture Right femur TKA periprostheticfracture Right femur periarticular plate Right femur periarticular plate
74 year-old women who was in an automobile accident and suffered a right femur supracondylar periprosthetic fracture about her posterior cruciate retaining TKA. The fracture was treated with a lateral periarticular locking plate and screws.
Right femur buttress plate

Left tibia buttress plate

Right femur buttress plate

Right femur buttress plate

Tibia buttress plate

Tibia buttress plate

59 year-old man with healing right distal femur intercondylar fracture

 

47 year-old woman with lateral tibial plateau fracture.

Enders (flexible) fixation nails

Flexible fixation rods

Enders (flexible) fixation rods in right femur

 

Zickel nail
Enders nails

Flexible rods

Enders rods in right femur

Zickle nail

From Taljanovic, 2005

Flexible intramedullary fixation rods stabilize a healing humerus shaft fracture. The wire in the eyelets distally (arrow) prevent the rods from backing out of the insertion portal. From Benjamin, 1994

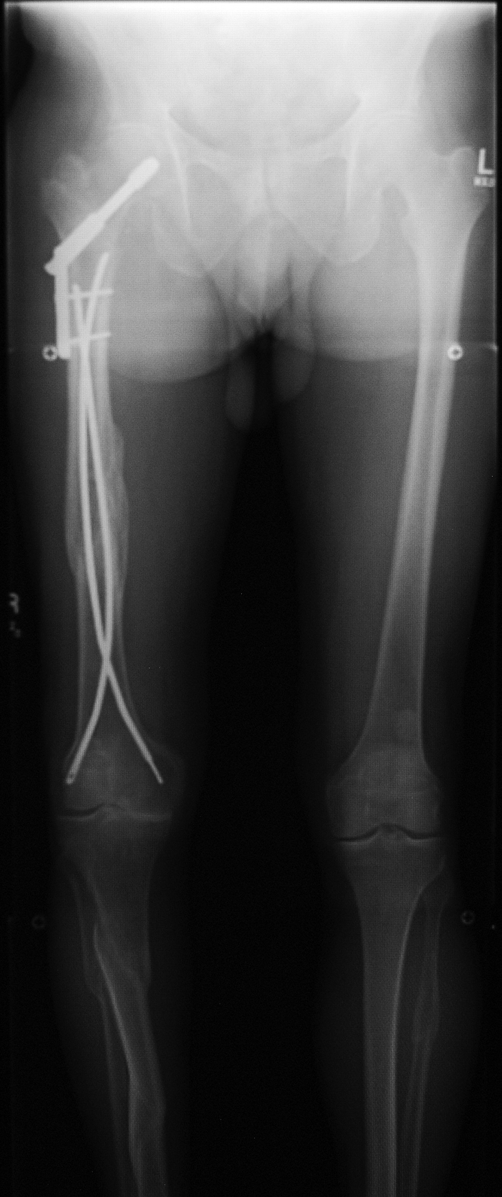
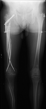
61 year-old man with multiple old fractures. There are Enders nails (rods) in the right femur. There is also a dynamic compression screw and side plate in right hip.

The Zickel (aka Zickle) nail system is designed to treat pathologic fractures in the femur as well as acute subtrochanteric hip fractures and acute supracondylar femoral fractures. The sharp bend in the nail (arrow) often results in re-fracturing if the nail is later removed. From Benjamin, 1994

Back to Top

 

Internal Fixation continued...nails and rods

 


Author contact information

Tim Hunter
Email: hunter@radiology.arizona.edu


COPYRIGHT 2013: TBH
All Rights Reserved

Publisher Contact Information

Main office: USA (New York)
Cambridge University Press
32 Avenue of the Americas
New York, NY 10013-2473

Phone: (212) 337-5000
Email: newyork@cambridge.org