| Multiple lap sponges in a trauma patient who died at surgery |
Bilateral hip antibiotic beads in a patient with infected hips after girdlestone procedures |
 |
 |
 |
 |
| |
Pelvis radiograph. Besides the antibiotic beads there are bilateral surgical drains, and a catheter with a distended balloon is in the bladder. |
Later coronal STIR MRI image. The beads have low signal and would not be recognizable without radiographic correlation. |
Later coronal T1 MRI image. The beads have low signal and would not be recognizable without radiographic correlation. |
 |
| Silicone oil in left eye |
Orbital prosthesis |
Ocular prosthesis |
|
 |
 |
 |
|
| The oil was instilled into the left eye for treatment of retinal detachment. From Hunter, 2004 |
Hydroxyapatite orbital prosthesis. The prosthesis is designed for the insertion of a glass eye, and the intra-ocular muscles can be attached to provide proper motion of the prosthetic system in concert with the motion of the other eye. From Hunter, 2004 |
Right ocular prosthesis. From Yoshino, 1994 |
|
| Retained drill guide |
Fireman who sustained an injury with a firehose |
CT scout image of a patient assaulted with a screwdriver. He suffered no long term sequelae. |
 |
 |
 |
 |
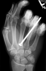
| Frontal and lateral views of the right wrist after placement of a volar T-plate and screws for a comminuted distal radius fracture. On the lateral view there is a retained drill guide (arrow) that was inadvertently left in place. It should have been removed at the end of the surgical procedure. It is not evident on the AP view and was initially overlooked by both an MSK radiologist and the patient's orthopedic surgeon. |
|
|
 |
| Nail gun injury |
Left index finger middle phalanx nail gun injury |
 |
 |
 |
 |
| |
|
|
|
 |
| Patient who stepped on a pen |
|
|
 |
 |
|
|
| |
|
|
|
 |
| Pen in orbit |
Pen in orbit |
MRI metallic artifacts |
Toothbrush in left chest wall |
 |
 |
 |
 |
| 10 year-old boy running with a ballpoint pen in his mouth. He fell and jammed the pen into the soft tissues of his face, entering the mouth under his upper lip. He recovered fully. (Courtesy George Barnes, MD). From Hunter, 1994 |
Five year-old girl with posttraumatic and postsurgical changes in the right ankle. Coronal T1-weighted image shows marked image distortion from susceptibility artifact areas (arrows) caused by presumed multiple microscopic metallic artifacts deposited at prior surgery. They were not visible on standard radiographs.
From Hunter, 2003. Permission granted for use of images in this article by Radiological Society of North America (RSNA) |
A county jail prisoner got into a dispute with another prisoner who forcibly poked a toothbrush into his chest wall (arrow). The bristles of the toothbrush are radio-opaque. |
 |
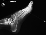
| Nail in foot |
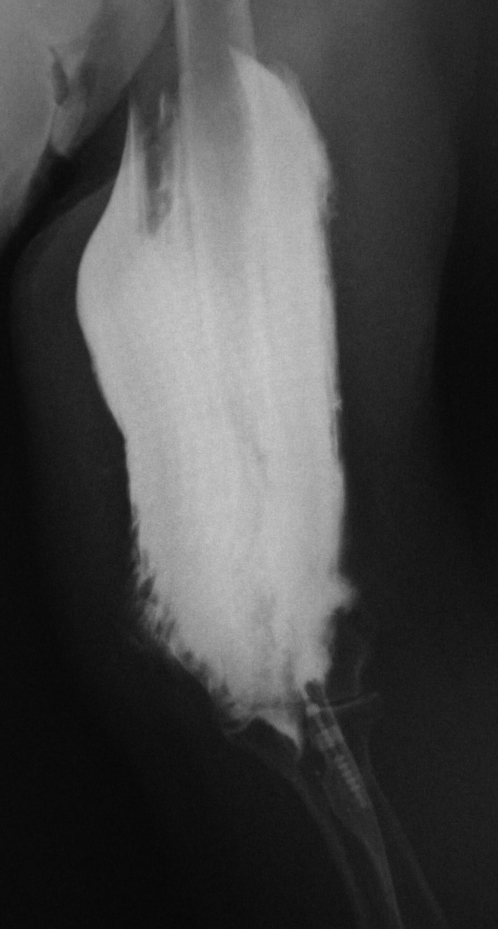
Contrast extravasation in left upper arm |
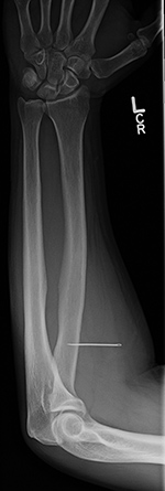
Sewing needle in left forearm
|
 |
 |
 |
 |
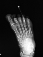
| Young man wearing sandals stepped on a nail. The nail penetrated his plantar soft tissues but this radiograph showed it had not entered bone. From Hunter, 1994 |
79 year-old woman undergoing chest CT study with contrast extravasation from attempted contrast injection in her left antecubital fossa. |
Patient put on new shirt 3 months prior and felt sharp pain in his forearm with swelling since then. Images courtesy Eugene Duke, MD.
|
 |
| Shear injury
|
 |
 |
 |
 |
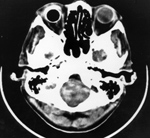
| 86 year-old man who fell off ladder onto pruning shears. The shear handle went through the floor of his right orbit and right maxillary sinus. His globe was intact. AP and lateral scout CT images. |
Axial CT image after surgical repair of the right orbital floor with titanium mesh. |
Coronal CT image after surgical repair of the right orbital floor with titanium mesh. |